[나이스데이] 10월 소비자물가상승률이 올해 들어 처음으로 2% 중반대로 올라왔다. 농축수산물, 가공식품, 외식 등 먹거리가 고공행진을 지속했고 석유류는 환율 상승의 영향으로, 개인서비스는 추석 연휴 효과로 크게 상승했다. 또 최근까지 안정세를 나타냈던 전월세 등 주거비도 물가 상승 압력으로 작용하고 있다. 지방은 부동산 경기 침체로 여전히 주거비가 낮은 수준이지만 서울은 주택 시장 과열로 전월세 가격도 뒤따라 상승하는 모습이다. 5일 국가데이터처의 '10월 소비자물가동향'에 따르면 10월 서울 지역 전월세가는 1.2%…
경제 뉴시스2025. 11.05[나이스데이] 인공지능(AI) 시대의 총아는 미 엔비디아의 블랙웰 슈퍼칩이다. 미 월스트리트저널(WSJ)은 4일(현지시각) 슈퍼칩이 더 이상 발전할 수 없는 기술 한계에 도달하면서 칩의 시대가 끝나가고 있으며 AI 데이터 센터를 작은 상자 크기로 줄이는 신기술이 개발되고 있다고 보도했다. 다음은 미국의 대표적 미래 기술학자인 조지 길더가 WSJ에 기고한 “마이크로칩 시대는 끝나가고 있다(The Microchip Era Is About to End)”는 글 요약. AI을 구현하는 엔비디아의 블랙웰칩에는 2080억개…
탑뉴스 뉴시스2025. 11.05[나이스데이] 대통령 소속 사회적 대화 기구 경제사회노동위원회(경사노위) 신임 위원장으로 김지형 전 대법관이 공식 취임했다. 경사노위는 5일 오전 서울 종로구 경사노위에서 김 신임 위원장에 대한 취임식을 진행했다. 김 위원장은 서울민사지방법원(현 서울중앙지방법원) 판사로 공직을 시작해 서울고등법원 부장판사를 거쳐 대법관, 사법연수원 석좌교수를 역임한 정통 법관 출신으로, 노동법 분야의 최고 권위자로 평가 받는다. 대법관 재임 시절에는 진보 성향 판결을 많이 낸 김영란·고(故)이홍훈·박시환·전수안 전 대법관과 함께 '…
탑뉴스 뉴시스2025. 11.05[나이스데이] 때 이른 독감(인플루엔자) 환자 급증에 '타미플루' 등 일부 독감치료제의 수급이 벌써부터 불안한 기미를 보이고 있다. 5일 제약산업 데이터 분석 전문기업 비알피커넥트의 비알피인사이트(BRPInsight)에 따르면 인플루엔자 치료제인 한국로슈 '타미플루캡슐75㎎', 한미약품 '한미플루현탁용분말6㎎/㎖' 등은 지난달부터 약국 수급이 불안한 양상을 보이고 있다. 두 품목은 해당 브랜드에서 가장 많이 판매되는 용량들이다. 비알피인사이트는 전국 약국에서 발생하는 유통·수급·처방 데이터를 구조화해 분석한다.…
전국 뉴시스2025. 11.05[나이스데이] 기온이 떨어지는 계절은 자외선이 여름보다 약할 것이라고 생각하기 쉽지만 자외선(UV)은 계절과 상관없이 존재해 장기간 노출을 피해야 한다. 특히 겨울철에는 눈과 얼음이 자외선을 반사하기 때문에 맑은 날에는 여름보다도 더 강한 자외선 노출이 발생할 수 있다. 눈의 자외선 반사율은 약 80~90%로 모래보다 훨씬 높은 것으로 알려졌다. 5일 의료계에 따르면 자외선은 UV-A(320~400nm)와 UV-B(280~320nm)가 눈에 영향을 준다. UV-B는 에너지가 강해 피부 화상과 각막 손상의 주된 원인이 된다. …
건강 뉴시스2025. 11.05[나이스데이] 딸과 함께 한국 관광에 나섰다가 음주운전 차량에 치여 50대 일본인 여성이 숨진 사건과 관련해 일본 언론이 큰 관심을 보이며 집중 보도하고 있다. 일본 후지TV 계열의 뉴스네트워크인 FNN은 FNN뉴스는 지난 4일 방송에서 관련 보도를 하며 한국의 음주운전 적발 건수가 일본의 약 6배 많다며 그 배경에 대해 주목했다. 이 방송은 삼성화재 교통안전문화연구소 자료를 인용해 한국의 2023년 음주운전 적발 건수는 13만 150건으로, 일본의 2만 1467건에 비해 약 6배에 달한다고 전했다. 또한 한국의 음주운…
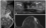
사회 뉴시스2025. 11.05[나이스데이] 국내 연구진이 수술 전 MRI(자기공명영상)가 50세 이하 유방암 환자의 재발 예방에 효과적이라는 사실을 규명했다. 특히 예후가 나쁘고 재발률이 높은 '호르몬 수용체 음성 유방암'은 재발 위험이 60% 이상 낮아지는 것으로 나타났다. 이는 젊은 유방암 환자의 맞춤형 치료 가능성을 높이고, 유방 MRI 기반의 정교한 치료 계획을 수립하는 중요한 가이드라인이 될 것으로 기대된다. 서울대병원은 하수민·연희라 영상의학과 교수, 김홍규 유방내분비외과 교수팀이 2011년부터 2017년까지 수술을 받은 50세 미만…
건강 뉴시스2025. 11.05[나이스데이] 올해 3분기 누적 보건산업 수출액이 지난해 같은 기간보다 12.5% 증가한 208억1000만 달러를 기록하며 첫 200억 달러를 돌파했다. 화장품, 의약품이 전년보다 15% 이상 증가하며 수출 호조를 이끌었다. 한국보건산업진흥원은 이러한 내용이 담긴 3분기 누적 의약품·의료기기·화장품 등 보건산업 수출 실적을 5일 발표했다. 올해 3분기 누적 보건산업 수출액은 208억1000만 달러로 지난해 3분기보다 12.5% 늘었다. 미국·유럽에서 바이오의약품 수출이 큰 폭으로 증가했으며 글로벌 시장에서 국내 기초화장용…
경제 뉴시스2025. 11.05[나이스데이] 전국민주노동조합총연맹(민주노총), 한국노동조합총연맹(한국노총) 등 양대노총이 더불어민주당과 이재명 정부를 향해 '65세 법정 정년연장'을 공약대로 올해 안에 국회에서 통과시킬 것을 촉구했다. 양대노총은 5일 오전 서울 여의도 국회에서 '65세 법정 정년연장 연내 입법 촉구' 기자회견을 개최하고 이 같이 요구했다. 이날 기자회견에서 민주노총과 한국노총은 "65세 법정 정년연장 공약을 약속대로 이행해야 한다"고 강조했다. 앞서 민주당은 22대 총선공약으로 국민연금 수급개시연령 상향과 연계한 65세 단…
사회 뉴시스2025. 11.05[나이스데이] 프로축구 K리그1 FC서울이 안방에서 중국 프로축구 슈퍼리그 청두 룽청과 무승부에 그쳤다. 서울은 4일 서울월드컵경기장에서 열린 청두와의 2025~2026시즌 아시아축구연맹(AFC) 챔피언스리그 엘리트(ACLE) 리그 스테이지 4차전에서 홈 경기에서 0-0으로 비겼다. 승점 1을 나눠 가진 서울(승점 5·1승 2무 1패)은 7위, 청두(승점 4·1승 1무 2패)는 10위에 자리했다. 김기동 감독이 이끄는 서울은 지난 시즌 K리그1 4위를 달성해 2020년 이후 5년 만에 ACLE 본선에 진출했다. …
스포츠 뉴시스2025. 11.05[나이스데이] 미국 프로축구 메이저리그사커(MLS) 로스앤젤레스FC(LAFC)의 '슈퍼 스타' 손흥민의 올해의 신인상 수상이 불발됐다. 5일(한국 시간) MLS 사무국은 2025시즌 신인상으로 샌디에이고FC의 안데르스 드레이어(덴마크)가 선정됐다고 밝혔다. 드레이어는 구단과 선수단, 미디어 등이 참여한 투표에서 74%의 높은 지지를 받아 6%에 그친 손흥민을 제쳤다. 올 시즌을 앞두고 안더레흐트(벨기에)에서 샌디에이고로 이적해 MLS 무대에 데뷔한 드레이어는 정규리그 34경기에서 공격포인트 38개(19골 19도움)을…
스포츠 뉴시스2025. 11.05[나이스데이] 예능 '저스트 메이크업'이 입소문을 타면서 지난달 쿠팡플레이 이용자수가 11% 급증한 것으로 나타났다. 4일 아이지에이웍스 모바일인덱스에 따르면 지난달 OTT 월간활성이용자수(MAU) 증가폭이 가장 컸던 건 쿠팡플레이로 전월 대비 10.67% 증가했다. MAU 순위는 넷플릭스(1504만3143명), 쿠팡플레이(795만5477명), 티빙(764만9491명), 웨이브(424만7680명), 디즈니플러스(261만4385명) 순이다. 독보적인 1위 넷플릭스(5.02%)에 이어 쿠팡플레이와 티빙(4.49%)이 2위 …
연예 뉴시스2025. 11.05[나이스데이] 흉포한 외모에 최첨단 무기를 가진 외계인과 다리가 잘린 채 수다스러운 합성인간 그리고 외계인이 합성인간을 업고 칼부림하는 모습은 분명 일정 수준 이상의 시각적 충격을 주지만, 영화 '프레데터:죽음의 땅'(11월5일 공개)은 사실 모범생에 가깝다. 외계 전투민족 프레데터의 '덱'과 지구에서 온 합성인간 '테아'의 외형에 일단 익숙해지기 시작하면 정석에 가까운 캐릭터 조형과 플롯 구성이 치고 들어온다. 누군가는 이 안정감에 편안을 느끼겠지만, 또 다른 누군가는 이 상투성이 따분할 수 있다. 다만 프레데터라는 프랜차이즈에 …
연예 뉴시스2025. 11.05[나이스데이]완도군은 미래 수산업을 이끌 인재를 양성하고자 12월 19일까지 2026학년도 한국수산벤처대학 수산 벤처 과정 제20기 신입생 50명을 모집한다. 교육은 2026년 3월부터 12월까지 조선대학교 해양생물연구교육센터에서 10개월간 진행되며, 수산 정책 관련 실무 이론, 해양 수산 컨설팅(수산 경영 및 마케팅, 창업, 시제품 제조), 국내·외 현장 학습 등 벤처 인력 육성을 위한 맞춤형 교육으로 진행된다. 수산 벤처 과정을 수료한 후에는 전략적 경영 능력과 리더십, 글로벌 수산업 동향 등을 심화적으로 학습할 수 있는 ‘…
완도 주용규 기자2025. 11.05[나이스데이]나주·무안·목포·광주에서 농촌 마을로 입주한 5가족의 한 달 영암살이가 한창이다. 지난달 20일부터 이 가족들이 영암살이를 하고 있는 곳은, 군서면 모정마을에 조성된 단독주택 ‘영암살래’이다. 이 주택은 영암군이 ‘영암에서 살아볼래’ 사업으로 건립해 지난달 2일 개장식을 마친 곳이다. 도시민 가족이 자기 거주지와 영암 농촌 마을, 두 지역에서 살아볼 수 있도록 주택을 임대해 주고, 다양한 지역 공동체·문화 프로그램도 제공해 지역 정착의 계기를 마련해 주는 사업을 영암군은 영암살래를 중심으로 진행하고 있다. …
영암 이영욱 기자2025. 11.05이 대통령 "싱가포르 경제 성장에도 부동산 문제 없어…많이 배워가겠다"
이 대통령, 싱가포르 공식 환영식 참석…정상회담 직후 공동언론발표
“농업인의 자부심”…함평군, ‘농촌지도자 상징탑’ 우뚝
올봄 에어서울 타고 괌으로…리조나레 괌 ‘반값’
40년 만에 '한 지붕'…광주·전남 통합시대 7월 개막
전남교육청, ‘107회 전국동계체전’서 성장 가능성 알리다
태국정부관광청, 인센티브 단체 지원 확대…지방 출발 우대
‘2026 나주방문의 해’, ‘나주 1박 2득’ 1호 주인공 탄생
광주광역시의회, 전남광주통합특별법 국회 통과 환영 성명서 발표
나주소방서, 봄철 산불 예방 활동 본격 추진
광주광역시의회, 전남광주통합특별법 국회 통과 환영 성명서 발표
광주광역시체육회, 체계적인 준비와 전략적 종목 육성으로 종합 12위 달성
‘숲이 주는 선물’ 장성군 고로쇠 수액 본격 출하!
김태균 전남도의장, 전남광주통합특별법 국회 본회의 통과 ‘환영’
시민과 피운 평등‧연대의 장미, 광주광역시 광산을 밝히다
광주광역시 광산구,스마트폰으로 담은 일상의 기록
광주광역시 북구, 해빙기 대비 취약지 107개소 안전점검 실시
강기정 광주광역시장 “통합은 신독립·신대한민국·신균형발전”
광주광역시, ‘5·18 50주년 기획단’ 신설·구성 사적지 유네스코 등재·기념행사 국민축제로
광주광역시, 중소기업에 구조고도화자금 300억 지원