|
15일 국회 보건복지위원회 소속 더불어민주당 소병훈 의원이 국립중앙의료원으로부터 제출받은 자료에 따르면 지난해 취약지 의료기관 37개소가 의뢰한 응급 영상판독 건수는 1만 3375건으로 2023년 1만 952건 대비 22.1%(2423건) 증가했다.
응급 영상판독을 12시간씩 1명의 당직의가 전담하고 있다보니 지난해 기준 평일 주간에는 1인당 평균 11.9건을 판독했고, 휴일·야간에는 3배가 넘는 37.1건을 홀로 처리해야 했다.
이런 상황에서 의료진의 업무 부담을 덜고, 의료진을 위험도가 높은 환자의 영상판독에 집중할 수 있도록 돕는 의료AI가 주목받고 있다.
코어라인소프트의 '에이뷰 뉴로캐드'는 환자의 뇌 컴퓨터단층(CT) 영상으로부터 뇌출혈을 검출하고 의료진의 뇌출혈 진단을 보조하는 소프트웨어 의료기기이다.
에이뷰 뉴로캐드는 분기 당 1만건을 상회하는 사용량을 기록 중이다. 응급의학과 전문의 출신으로 코어라인소프트의 최고제품책임자(CPO) 박준민 상무는 "단순히 비급여 제품으로서 실적이 나오고 있는 수준을 넘어, AI 진단 도구가 실제 임상 내 워크플로우에 흡수돼 실제로 환자나 의료진에 도움이 되고 있다는 점이 중요하다"라고 말했다.
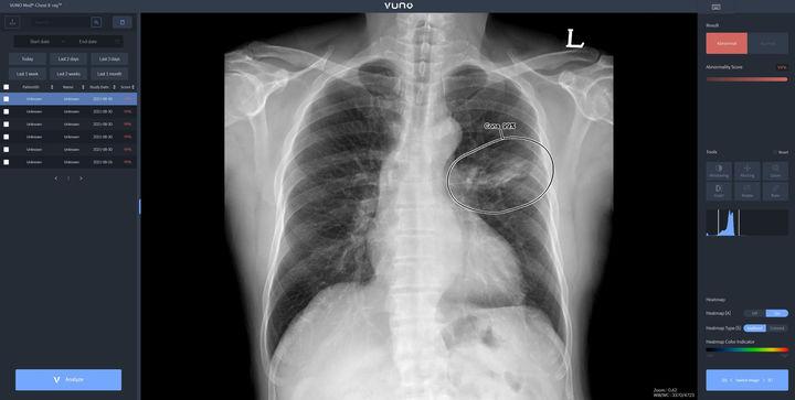
뷰노의 뷰노 메드 체스트 엑스레이는 흉부 엑스레이 영상의 주요 비정상 소견 여부와 위치 정보를 제공해 의료진의 판독을 보조한다.
AI가 흉부 영상을 분석해 주요 5개 소견(간질성 음영, 경화, 결절, 흉수, 기흉)에 대해 정상, 비정상 여부를 분석해 정보를 제공하고, 제공된 소견의 조합으로 폐암, 결핵, 폐렴과 같은 주요 폐질환의 진료를 보조한다.
실제 병원 응급실에서 위급한 정도에 따라 환자를 분류할 때 AI 기술로 소요 시간이 77% 줄었다는 연구 결과도 있다.
싱가포르 창이 종합병원 스리나스 스리다란 박사 연구팀은 지난 2023년 8월부터 12월까지 병원 응급실에서 촬영한 흉부 엑스레이 영상 총 2만 944건을 루닛 의료 AI 인사이트 CXR를 활용해 정상, 비응급, 응급으로 각각 세 가지로 분류했다. 이후 영상의학과 전문의 43명을 이를 평가했다.
그 결과 AI가 응급환자를 분류하는 데 걸린 평균 시간은 의사 대비 77% 줄었다. 최소 처리 시간에서도 의사 1.7초 대비 AI 0.2초로 전문의보다 빨랐다.
연구팀은 "응급실 환경을 중심으로 설계된 이번 연구를 통해 다양한 환자 집단에서 흉부 엑스레이 촬영 결과를 빠르고 정확하게 분류하는 AI의 효과가 검증됐다"며 "AI가 보여준 결과는 의사가 환자에 대해 즉각적인 판단을 내리는 데 도움이 될 것"이라고 말했다.
뉴시스
2026.04.21 (화) 16:35












